一、子宫内膜增生症《病理学》

一、子宫内膜增生症

子宫内膜增生症(endometrial hyperplasia)临床表现为功能性子宫出血,主要症状为月经不规则、经期延长和月经量过多。大部分病人发生于更年期或青春期。其发生与卵巢雌激素分泌过多而孕酮缺乏有关。

【病变】

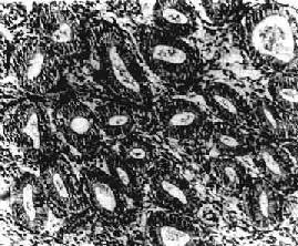
肉眼观,一般可见子宫内膜普遍增厚,可达0.5~1cm,表面光滑,柔软,也可呈不规则形或息肉状。镜下,可分4种类型:①单纯型,子宫内膜腺体及间质均增生,腺体明显增多、大小不一、分布不均(图13-6)。偶见腺体扩大成囊,腺上皮细胞呈柱状,缺乏分泌,往往排列成假复层。核分裂像常见。间质细胞排列紧密。②囊腺型,以增生腺体呈明显囊性扩张为特征。典型病例肉眼可见在增厚的内膜中有散在小孔形成,因此称之为瑞士干酪样增生。镜下,内膜腺体形状多样,大小极不一致,小者如增生早期的腺体,大者直径可为小的数倍至数十倍,大小腺体皆衬以假复层高柱状或立方上皮,并缺乏分泌现象。间质细胞丰富,胞浆少,核浓染。③腺样型,以腺体增生而密集排列和间质稀少为特征,腺体数量远比前两型为多,结构也更加复杂,腺上皮向腺腔内呈乳头状或向间质呈出芽样增生。间质稀少。腺上皮细胞为高柱状,假复层,核空泡状,核分裂像常见,但无明显异型性。④不典型增生,组织结构与腺样增生相似,腺体拥挤并呈不规则形、分支状或出芽样增生,间质明显减少,同时出现腺上皮细胞的异型性,细胞核大,染色质粗,核仁明显,上皮复层,失去极性,常见核分裂像。子宫内膜不典型增生有时很难与高分化腺鉴别,主要鉴别点是前者不见间质浸润。有人认为它是子宫内膜腺前变化。

子宫内膜增生症

图13-6 子宫内膜增生症

腺体明显增多、大小不一、分布不均,腺上皮多层,间质增生,排列紧密

【临床病理联系】

子宫内膜增生症的子宫不规则出血是由卵巢滤泡不排卵所致。由于卵巢持续分泌雌激素,一方面引起子宫内膜增生,另方面抑制垂体前叶卵泡刺激素的分泌,终致卵泡因失去卵泡刺激素的支持而发生退化,雌激素分泌因而急骤下降,增生的子宫内膜由于雌激素突然不足而发生坏死脱落,引起子宫出血

有些功能性子宫出血的病人,偶尔在更年期前或更年期可见到分泌期内膜,有人认为系更年期前激素不平衡,垂体促性腺激素产生过度或黄体功能过盛所致。临床可有月经过多表现,称排卵性功能性子宫出血

上一页:四、子宫颈癌
当前页:一、子宫内膜增生症
下一页:二、子宫内膜异位症

返回目录